下顎隆起
公開日:
:
日記

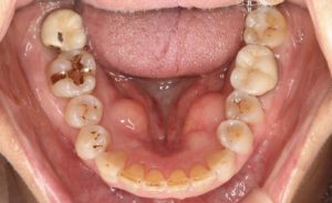
下のあごの内側にできものができたので診てほしいと来られた患者さん。
診察すると、下顎隆起という骨のコブで病気ではありませんでした。
将来義歯を作るときに問題があるかもしれませんが、当面は放置していても大丈夫です。
関連記事
-
-
第1回「歯が命アワード」
8月1日が「歯が命の日」に制定されたことを記念して、「歯が命アワード」が創設されました。 第1回の
-
-
教科書通りに行かない歯科治療
歯の治療は教科書通りに行きません。 例えば、同じ歯に同じ程度の虫歯ができたとしても、 その方の年
-
-
歯科医の7つ道具 7
電動注射器が壊れたため、新しいモデルを購入しました。 今度のは1.0mlと1.8mlのカートリッジ
