*

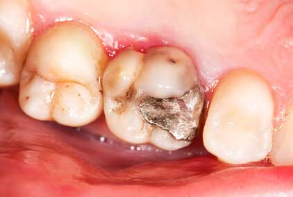
アマルガム

公開日: : 日記, 行政

スイスで開催された水俣条約会議で、歯科用アマルガムの製造や輸出入を禁止することが同意されたという報道がありました。
当院では30年以上アマルガムは使用していません。
また現在では他院での治療も含め、口腔内に入っている人はほとんど見かけなくなりました。

関連記事

歯磨き指導

小学校へ歯磨き指導に行きました。 担当するのは2年生でしたが、前の時間は国語で「いなばの白うさぎ」

記事を読む

動物の虫歯

野生動物も虫歯になるの?という記事が日刊紙に出ていました。 野生動物は自然界の食物をしっかり噛んで

記事を読む

オレンジエッグ

患者さんから卵をたくさん頂きました。 オレンジエッグというブランド卵で、鶏は天然飼料で育てているそ

記事を読む

桜満開

コブシの花に続いて、玄関前の桜が満開になりました。 医院の前では、柴島浄水場桜並木通り抜けが開催中

記事を読む

フッ化物塗布

担当している小学校の4年生にフッ化物を塗布しに行きました。 この薬は泡状になっているので、オレンジ

記事を読む

8020運動

厚生労働省と日本歯科医師会が、80歳で20本以上自分の歯を残しましょうという「8020運動」を提唱し

記事を読む

金属高騰

歯科用の金属が急騰しています。 それに準じて保険点数の改定が、通常2年に1度ですが3ヶ月に1度改定

記事を読む

鹿王院

京都嵐山にある鹿王院を訪れました。 ここには鎌倉将軍、源実朝が宋の国から招来した、仏牙舎利がまつら

記事を読む

講演会

先日、堺で開催された「指定都市学校保健協議会」に公務で出席しました。 記念講演はラグビーの大畑大介

記事を読む

秋の健康診断

小学校の秋の健診へ。 秋の健診は、春の健診で虫歯や歯肉炎の境界線上と診断された人、虫歯や歯肉炎と診

記事を読む

PREV
麻酔薬
アマルガム

スイスで開催された水俣条約会議で、歯科用アマルガムの製造や輸出入を禁止

麻酔薬

歯科用金属の高騰に疲弊する歯科業界ですが、現在は戦争の影響か麻酔薬が出

大正ガラス館

先日旅行した際、自社の工房で製作されたガラスの器を販売している、大正ガ

植木屋さん

少し前になりますが、雪がちらつく中、植木屋さんが診療所周囲の植木の手入

試供品配布

いつもお世話になっている第一三共ヘルスケアさんから、薬用歯磨きクリーン

PAGE TOP ↑