上顎第2大臼歯のブラッシング
公開日:
:
お知らせ


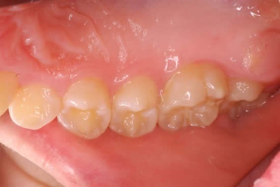
上あごの一番奥の歯(上顎第2大臼歯)の外側の歯磨きができていない人がいます。
そういう人は、頬の内側の肉が歯に密着していて、歯ブラシが届いていないことが多いです。
口を大きく開けるほど強く密着するので、歯磨きの際は口を閉じた状態にすると、奥まで届きやすくなります。
歯科治療の方法は一つではありません。患者様一人一人に合った最良の治療方法を提供します。

公開日:
:
お知らせ


上あごの一番奥の歯(上顎第2大臼歯)の外側の歯磨きができていない人がいます。
そういう人は、頬の内側の肉が歯に密着していて、歯ブラシが届いていないことが多いです。
口を大きく開けるほど強く密着するので、歯磨きの際は口を閉じた状態にすると、奥まで届きやすくなります。