歯の欠損
公開日:
:
お知らせ


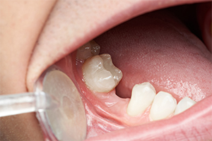
奥歯を何らかの原因で喪失した後、見えないところだから良いかと放置してしまう人がいます。
奥歯を抜けたままにしておくと、抜けた前後の歯が、抜けた側に倒れてきます。
それと同時に、抜けたことで咬まなくなった反対側の歯が伸びてきます。
この様にして、少しずつ歯並びが悪くなっていきます。
また前歯の負担が大きくなり、傷みやすくなりますので、入れ歯やブリッジを入れて、元通り咬めるようにすることが大切です。
関連記事
-
-
令和5年 歯と口の健康週間
今年も歯と口の健康週間が始まりました。令和5年の標語は「手に入れよう 長生きチケット 歯み
-
-
上顎第2大臼歯のブラッシング
上あごの一番奥の歯(上顎第2大臼歯)の外側の歯磨きができていない人がいます。 そういう人は
-
-
リニューアル工事完了
約2週間に渡って行われていました歯科医院の外壁工事がようやく完了しました。 工事期間中は何かとご迷
-
-
加熱式たばこについて
紙巻きたばこと比較して、加熱式は健康リスクが少ないとの報道(広告)がありますが、日本歯科医
