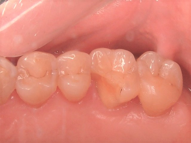
歯牙破折
公開日:
:
お知らせ


歯の寿命が長くなるにつれて、歯が割れてしまう人が目につくようになりました。
歯牙破折という病名で、年齢には関係なく、虫歯で歯を削り薄くなったり、神経を取った歯によく見られます。
さらに就寝中などの歯ぎしり、食いしばりで、歯に負担がかかると起こりやすいです。
症状は腫れたり、化膿したり、咬み合わせると痛んだりします。
抜歯になる場合が多いですが、折れた状況によっては残せる場合もあります。
関連記事
-
-
令和5年 歯と口の健康週間
今年も歯と口の健康週間が始まりました。令和5年の標語は「手に入れよう 長生きチケット 歯み
-
-
ディスポーザブル製品
いよいよ新型コロナウイルスの影響が出てきました。 マスク・グローブ・ペーパータオル・紙エプ
-
-
介護認定審査会委員委嘱
継続になりますが4月から2年間、大阪市長より介護認定審査会委員を拝命することになり
-
-
MINIATURE LIFE展
神戸阪急百貨店で開催している「MINIATURE LIFE展」へ行ってきました。ネットで日
- PREV
- コロナウイルス
- NEXT
- ハズバンダリートレーニング
