ヒマワリの種
公開日:
:
お知らせ

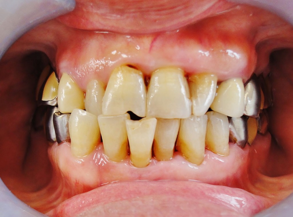
中国のある地域ではヒマワリの種を炒って、おやつに食べる習慣があるそうです。
永年に渡り、歯で殻を割って中身を食べるうちに、写真の様に前歯の先が磨り減り、くさび状にへこんできます。
こちらの患者さんによると、ヒマワリの種は神戸の南京町などでも販売しているそうです。
関連記事
-
-
今年1年間ありがとうございました
本年の診療は今日で終わり、来年は5日から行いますのでよろしくお願いいたします。 休日・夜間に緊急の
-
-
骨粗しょう症薬その後
あけましておめでとうございます。さて昨年末に投稿した、骨粗しょう症の予防や治療に投与されて
- PREV
- カルテの管理
- NEXT
- 歯科医の7つ道具 7
